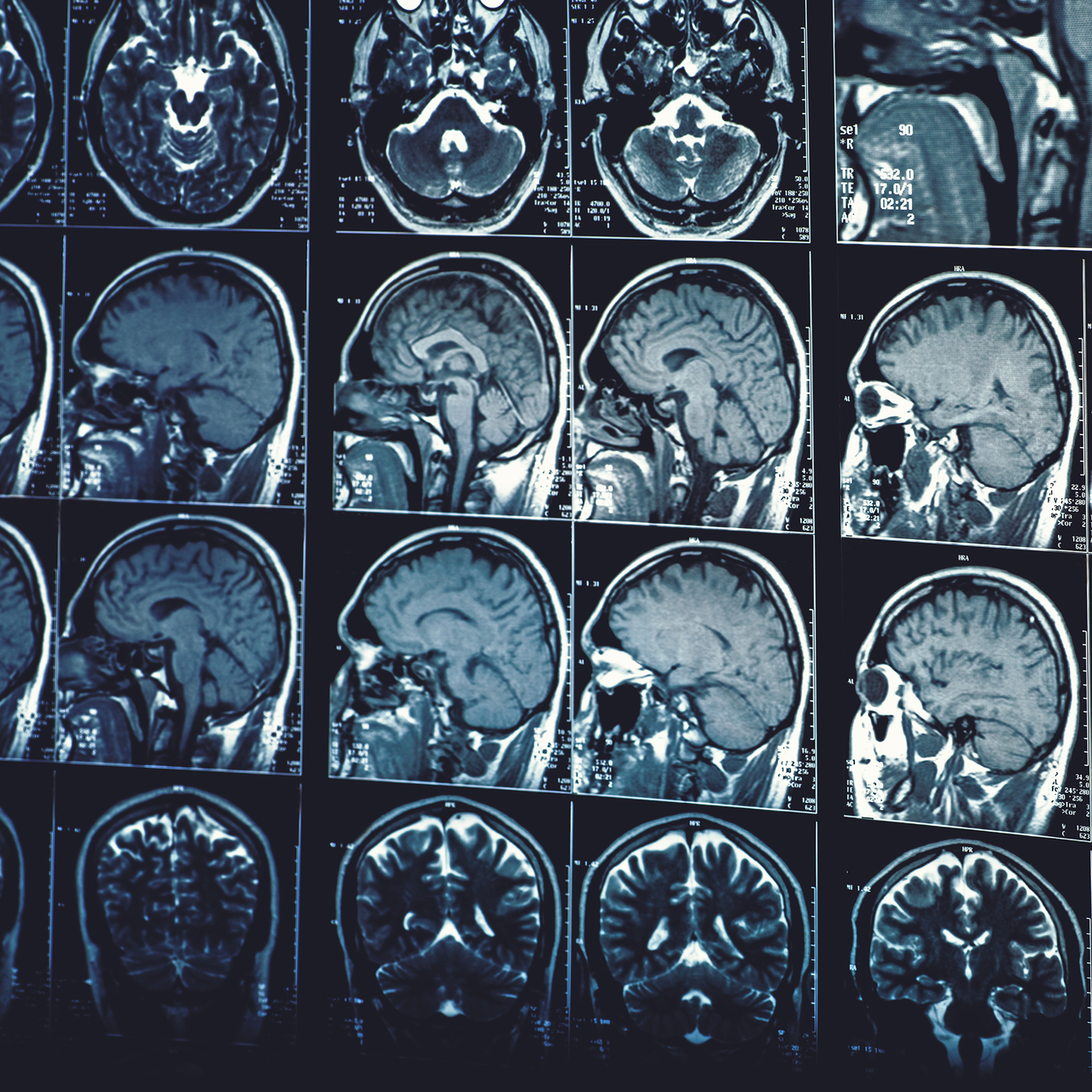
Ondokuz Mayıs Üniversitesi (OMÜ) Tıp Fakültesi Nöroloji Anabilim Dalı ve Türk Nöroloji Derneği Başkanı Prof. Dr. Murat Terzi, yaptıkları çalışmalarla yapay zekanın nörolojik hastalıkların tanısında yüzde 90'ın üzerinde doğru bir tanı verdiğini ve yapay zekayı eğitmeye devam ettiklerini söyledi
Kaynak: https://www.haberturk.com/tani-koymada-yapay-zeka-donemi-3752665
Nevşehir Defterdarı Sarı'dan Borsa Başkanı Salaş'a Nezaket Ziyareti Nevşehir İl Defterdarı Sezer Sarı, Nevşehir Ticaret Borsası Başkanı İb...
Yağmur boşa mı yağıyor? İstanbul barajları dolmuyorYaz ve sonbahar döneminden sonra Aralık ayında yağmur hasretini dindiren İstanbul'da ha...
AB'de yeni dönem! Bugünden itibaren başlıyor: Zorunlu olacakAvrupa Birliği, atıkları azaltma planı doğrultusunda çeşitli elektronik cihazl...
İmamoğlu, Rıza Akpolat'ın gözaltı kararına sert çıktı İmamoğlu, Rıza Akpolat'ın gözaltı kararına sert çıktı Kaynak: https://www.soz...
Türkiye'nin saklı hazinesiİklim değişikliğine bağlı sıcaklık artışının yanı sıra; kuraklık ve hava kirliliği gibi çevresel risklerden de e...
Çağla Şıkel '15 yaş küçük sevgili' iddiasına sitem etti Çağla Şıkel '15 yaş küçük sevgili' iddiasına sitem etti Kaynak: https://www...
Dev şirketin CEO'suna kaçak değerli maden sorgusuTürkiye'nin en büyük altın rafinerilerinden olan Nadir Metal Rafineri A.Ş.'nin CEO'su ve ...
Son Dakika... Balıkesir'de işçi servisi kaza yaptı: 25 yaralı Son Dakika... Balıkesir'de işçi servisi kaza yaptı: 25 yaralı Kaynak:...
BELMEK Kurslarına Minik Misafirler BELMEK kursları, Düzce Belediyesi'nin kreş öğrencilerini ağırladı, çocuklar el sanatları ve ahşap ...
Petrol fiyatları 4 ayın zirvesinde Petrol fiyatları 4 ayın zirvesinde Kaynak: https://www.sozcu.com.tr/petrol-fiyatlari-4-ayin-zirv...